A variety of gum grafting procedures are routinely performed by periodontists and some general dentists with specialized training in this field.
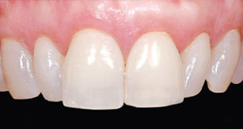
Often, you can clearly see or feel the problem. Exposed tooth roots can make your teeth look overly “long,” and they also generally appear somewhat darker than your pearly white crowns. Gum recession is a condition that can increase with age, as we recognize when we hear the phrase “long in the tooth.” But the potential problems of gum recession aren’t just cosmetic – they can also seriously impact your oral health.
How do you know if you need a gum graft?
This deep cleaning has two parts. Scaling is when our in-house hygienists will remove the plaque and tartar above and below the gumline, making sure to clean all the way down to the bottom of the pocket. Your hygienist will also do root planing, smoothing out your teeth roots to help your gums reattach to your teeth. Scaling and root planing may take more than one visit to complete and requires a local anesthetic to ensure comfort for our patients. Oftentimes a betadine solution is used to irrigate the patients pockets after the procedure is completed to aid with disinfection. Sometimes post-op X-Rays may be required for Scaling and Root Planing patients.
A Closer Look at Your Gums
Inside your mouth, gum tissue forms a barrier that resists the vigorous mechanical (and microbial) effects of eating, chewing and biting. Gums may begin to recede, or shrink down, for several reasons.
One is ineffective oral hygiene: This includes both inadequate brushing, which fails to remove dental plaque; and excessive brushing, which erodes the tissue. Foreign objects in the mouth that rub against the gums, like poorly fitting removable dentures, tongue bolts, or even fingernails, can also contribute to gum recession.
When the tooth’s roots lose the protection of healthy gum tissue, they can become extremely sensitive to hot or cold temperatures, causing pain when you consume many foods and drinks. Worse, missing gum tissue makes it easier for bacteria to penetrate the roots and cause decay – or for minor trauma to result in rapid gum recession. In either case, the eventual result may be tooth loss. That’s why proper treatment of gum recession is so important.
Treating Gum Recession With Gingival Grafting
After a thorough examination and assessment of your teeth, gums and overall health, the gingival grafting procedure may be recommended. The tissue used in this procedure may be obtained from a variety of sources: an area next to the area of recession, from the hard palate, or donated tissue from another person, which has been medically processed to make it safe to use.
There are several different methods of grafting. For example, if you have lost gum tissue in an area of your mouth that’s not highly visible when you talk or smile, additional gum tissue can be placed there to prevent further recession without trying to cover the tooth-root surface completely. This procedure is referred to as a free gingival graft (since the tissue is separated from its blood supply), and it takes about 45 minutes to perform. It is very predictable with a very high success rate. If the objective is to cover root surfaces, the procedure becomes more complicated and will take longer, but is still very successful.
Grafting procedures are typically carried out under local anesthesia, and are generally pain-free. You should experience very little discomfort after the surgery, even if tissue has been removed from your palate, because that donor area is usually covered by a soothing, liquid band-aid-like material. Fortunately, any discomfort that you do have can be alleviated with over-the-counter or prescription anti-inflammatory medication, and it is generally short-lived. A soft diet (and an antibiotic) may also be recommended for a week or so thereafter, enabling the tissues to heal fully; otherwise, your normal activities will not be limited.
Keeping Your Gums Healthy
Following a gum graft, it’s more important than ever to practice good oral hygiene; this will help prevent gum problems from developing in the future. Your regimen should include proper brushing with fluoride toothpaste, daily flossing, a healthy diet and regular dental and periodontal checkups. Maintaining healthy gums is a key to keeping up your overall oral health – and preserving your smile.
